A cavity is also known as dental caries or better known as tooth decay.
Your teeth have a hard outer layer called enamel. Enamel can break down and softens from the acids produced by bacteria in the mouth. When this happens, you get what is known as Cavity.
Tooth decay is very common chronic disease and is the most common chronic disease in children.
Tooth decay is a gradual process that starts small and gets bigger if no steps are taken to treat it. Most times, a cavity does not cause pain at the onset, making it difficult to recognize that there is a problem.
SYMPTOMS
1) Black or white teeth stains
2) Holes in the teeth
3) Tooth pain
4) Tooth sensitivity
When dental decay is in its early stages, symptoms will not show up but your dentist can detect a cavity during radiograph or teeth examination. That’s the reason you need to schedule regular dental visit because it is easier to take care of the cavities when they are in their beginning stage. The smaller the cavity is, the easier they are to fix.
TREATMENT
1) Fluoride treatment
Tooth decay can be treated using fluoride in the early stages. This is referred to as Tooth Remineralizaton. This can restore your enamel and help to avoid decay in the future.
2) Tooth Fillings
Dentist will remove the decayed material from the tooth and fill the area with materials such as composite resin, glass ionomer cements etc.
3) Crowns
If cavity reaches a more severe stage, crowns may be placed over tooth.
4) Root Canal Treatment
If the decay leads to nerve death, a root canal treatment is performed by your dentist.
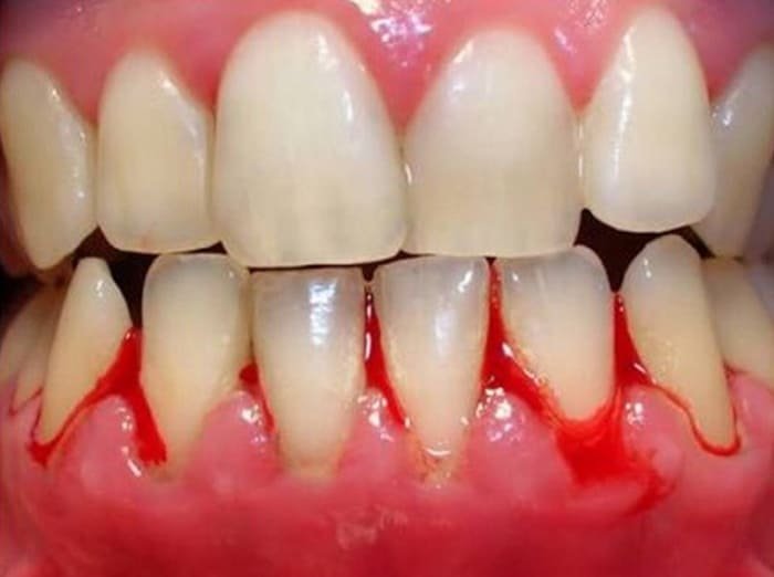
BLEEDING GUMS
Bleeding gums is the first sign of gum problems. This problems occurs due to gum infecton and poor oral hygiene. It mostly occurs while brushing or when you are eating some raw fruits. If the problem is followed by swollen gums and bad breath, then these are the symptoms of Gingivitis which is reversible condition by proper maintaining the oral hygiene. And if gingivitis is left untreated, it can advance into gum disease called Periodontitis.
Causes
1) Hard brushing
2) Deficiency of vitamins
3) Hormonal changes
4) Taking certain medications like blood thinners etc.
5) Diseases like diabetes and heart disease
Treatment
1) Soft brush must be used twice a day
2) Floss once a day
3) Mouthwashes without alcohol
4) Avoid smoking or tobacco products
5) Have a balanced diet along with Citrous fruits
BRUXISM
Bruxing can be described as the clenching or grinding of the teeth wherein individuals tighten or rub their teeth together. What sets it apart from regular chewing is that these actions are done involuntarily when the person is not eating. Bruxist are not aware of it as the symptoms are not immediately noticeable. Bruxism can cause long term effects often leading to tired jaws, tender facial muscles, headache, TMJ pain, teeth that are hypersensitive, chipped, worn and so on.
Causes
1) Dental factors
Occlusal interferences which may interfere with normal closing of the jaws. The natural reflex is to compensate it by moving the jaws laterally.
2) Psychological factors
Personality issues and suppressed emotions like anxiety, aggression and stress. Individuals with a background of family problems, stress and sleep disorders are also prone to bruxism.
3) Systemic conditions
Calcium and magnesium deficiency, intestinal parasites in children etc.
4) Medications
Medications prescribed for depression, Parkinson’s Disease and attention deficit disorder.
5 Reasons To Have Braces As An Adult
While many people think that only preteens and teenagers have braces, adults get braces too. In fact, more than a million adults wear braces, and the trend continues to grow.
Whether you are uncomfortable with your smile or have trouble with oral hygiene because of the placement of your teeth,
adult braces have many benefits. Keep in mind, finding cheap braces shouldn’t be your only goal. It's also essential to
consider the numerous benefits of braces. Straighter teeth can improve the smile and are easier to clean. Correcting
the bite reduces the likelihood of fractures, gum recession, grinding, clenching, jaw pain, and
more. In most cases, you'll find that the benefits of braces far outweigh the cost.
Here are five reasons to get braces as an adult.
You Have Many Options
While traditional metal braces are the norm for many braces wearers,
you have other orthodontic treatment options for straightening your teeth.
Depending on your budget and the severity of your crooked or misaligned teeth,
your dentist may recommend dental aligners, lingual — or behind-the-teeth — braces,
or porcelain braces. Porcelain braces, or ceramic braces, are on the teeth like
traditional metal braces, but the brackets are sheerer in design.
You Get More Than Straight Teeth
As you age, your mouth and jaw change shape.
Your jawbone naturally loses density, which causes your teeth to shift.
Over time, your teeth become crowded, and you experience pain or discomfort
when chewing and swallowing. Teeth that overlap also become difficult to keep clean,
making your teeth more susceptible to dental decay.
Braces not only straighten your teeth to give you a more natural smile,
but they also improve your overall oral health. Many patients who get braces are
over 50 years of age, choosing to get braces due to oral discomfort.
You Gain Confidence In Your Smile
Studies have shown that people with straighter teeth are viewed as more
successful than those with crooked teeth. The reason why is this: people
associate straight teeth with health and attractiveness, which means that
perceived flaws in your smile can give others a bad first impression of you
when you apply for a job, go on a date, or meet people for the first time
You gain confidence in your smile when you get braces because you no longer have to
feel self-conscious about the way your teeth look. Write down your concerns about your
teeth and discuss them with your dentist to see if adult braces are an ideal solution
for your dental needs.
You Can Afford Treatment
Braces are not as expensive as you think. The average adult spends anywhere
from Rs 30,000 to over Rs 60,000 to pay for braces. If you need braces for
reasons beyond cosmetics — such as preventing dental decay or improving the
way you speak and eat — your dental insurance may even help cover your costs.
Check with your insurance company to find out if you have orthodontics coverage,
many dental plans do. If you do not have dental benefits, there are payment
plans available through various medical lending companies.
The cost for adult braces varies depending on the type of braces you need.
Lingual braces are often pricier than traditional braces.
Your dentist will show you the braces options best for your oral needs and budget.
You Won’t Wear Braces Forever
The average adult wears braces anywhere from 18 to 26 months.
How long you will wear braces depends on the style of braces you choose,
how crooked your smile is, and other factors. Your dentist will adjust your
braces every several weeks as your teeth respond to treatment.
After the dentist removes your braces, he or she will have you fitted for
a retainer to align your new smile.
After receiving braces, your mouth will feel sore and eating and
speaking will be uncomfortable while you get used to your dental wear.
Your dentist will show you ways to take care of your teeth while wearing
braces to keep your oral health in check.
Baby Teething Tips
Teething is when teeth first come through a baby’s gums.
It can be a frustrating time for babies and their parents.
Knowing what to expect during teething and how to make it a little
less painful can help.
When does teething start ?
While teething can begin as early as three months, most likely you’ll see
the first tooth start pushing through your baby’s gum line when your little
one is between four and seven months old.
The first teeth to appear usually are the two bottom front teeth.
Most kids have all 20 of their primary teeth by their third birthday.
In some rare cases, kids are born with one or two teeth or have a tooth
emerge within the first few weeks of life. Unless the teeth interfere with
feeding or are loose enough to pose a choking risk, this is usually not a problem.
How can I make teething easier ?
Here are some tips to keep in mind when your baby is teething:
Gently wipe your baby’s face often with a cloth to remove the drool and prevent rashes from developing.
Rub your baby’s gums with a clean finger.
Give your baby something to chew on. Make sure it’s big enough that it can’t be swallowed or choked on and that it can’t break into small pieces. A wet washcloth placed in the freezer for 30 minutes makes a handy teething aid. Be sure to take it out of the freezer before it becomes rock hard—you don’t want to bruise those already swollen gums—and be sure to wash it after each use.
Rubber teething rings are also good, but avoid ones with liquid inside because they may break or leak. If you use a teething ring, chill it in the refrigerator, but not the freezer. Also, never boil to sterilize it as extreme changes in temperature could cause the plastic to get damaged and leak chemicals.
Teething biscuits and frozen or cold food are only okay for kids who already eat solid foods. Don’t use them if your child has not yet started solids. And make sure to watch your baby to make sure that no pieces break off or pose a choking hazard.
If your baby seems irritable, ask your dentist if it is alright to give a dose of acetaminophen or ibuprofen (for babies older than six months) to ease discomfort.
Don’t use teething gels and tablets because they may not be safe for babies.
How should I care for my baby’s teeth?
The care and cleaning of your baby’s teeth is important for long-term dental health. Even though the first set of teeth will fall out, tooth decay makes them fall out more quickly, leaving gaps before the permanent teeth are ready to come in. The remaining primary teeth may then crowd together to attempt to fill in the gaps, which may cause the permanent teeth to come in crooked and out of place.
Daily care should begin even before your baby’s first tooth comes in. Wipe your baby’s gums daily with a clean, damp washcloth or gauze, or brush them gently with a soft, infant-sized toothbrush and water (no toothpaste!).
As soon as the first tooth appears, brush it with water and finger brush. Once the child has some more teeth, use non-fluoride toothpaste and a tiny toothbrush. It’s fine to use fluoride toothpaste once a child is old enough to spit it out, usually around the age of three years.
By the time all your baby’s teeth are in, try to brush them at least twice a day and especially after meals.
Another important tip for preventing tooth decay—don’t let your baby fall asleep with a bottle. The milk or juice can pool in a baby’s mouth and cause tooth decay and plaque.
It is recommended that kids see a dentist by age 1, or within 6 months after the first tooth appears, to spot any potential problems and advise parents about preventive care.
Dental Care During Pregnancy
It's important for you to take good care of your teeth and gums while pregnant, pregnancy causes hormonal changes that increase the risk of developing gum diseases which, in turn, can affect the health of your developing baby
Below are some tips to help you maintain good oral health before, during, and after pregnancy.
Before You Get Pregnant
Try to make a dental appointment before getting pregnant. That way, your teeth can be professionally cleaned, gum tissue can be carefully examined, and any oral health problems can be treated in advance of your pregnancy.
Dental Care While Pregnant
• Tell your dentist if you are pregnant. Routine dental care can be done any time during pregnancy. Any urgent procedure can be done, as well. All elective dental procedures, however, should be postponed until after the delivery. Before you have your dental appointment, check with you obstetrician to see if they have any special precautions/instructions for you.
• Tell your dentist the names and dosages of all drugs you are taking – including medications and prenatal vitamins prescribed by your doctor – as well as any specific medical advice your doctor has given you. Your dentist may need to alter your dental treatment plan based on this information.
• Dental X-rays can be done during pregnancy. Your dentist will use extreme caution to safeguard you and your baby, such as shielding your abdomen and thyroid. Advances in technology have made X-rays much safer today than in past decades.
• Don't skip your dental checkup appointment simply because you are pregnant. Now more than any other time, regular periodontal (gum) exams are very important, because pregnancy causes hormonal changes that put you at increased risk for periodontal diseases and for tender gums that bleed easily – a condition called pregnancy gingivitis. Pay particular attention to any changes in your gums during pregnancy. If tenderness, bleeding or gum swelling occurs at any time during your pregnancy, talk with your dentist or periodontist as soon as possible.
• Follow good oral hygiene practices to prevent and/or reduce oral health problems.
Dentistry Is Not Expensive, Neglect Is !
While a nice smile plays a huge part in your confidence, healthy gums and teeth are critical for your health. People think dental treatment is costly. Yes it does involve a lot of technique and various material costs to be borne by the dentist. But during regular visits to dentist if the dental problems are detected and treated early on, the added dental expense of advanced treatment can be avoided. Good food habits in maintaining oral health is a very important factor that is many times ignored. Preventive measures do decrease the incidence of severe dental problems. Do not self medicate and aggravate the problem.
Early detection can be treated using simple, painless and most importantly less expensive procedure.
For example , dentist can brush a protective shield called Sealants, on the chewing surface of the teeth to protect enamel and essentially prevent caries from forming. The cost of a sealant can range between Rs 500 to Rs 1000 per tooth. On the other hand, treating cavity can cost anywhere between Rs 2000 to Rs 3000. If the cavity is left untreated, it will go deep down until it reaches the nerve roots of your tooth which can be treated by Root Canal Therapy (RCT) which ranges from Rs 4000 to Rs 10000. This case is a sample example portraying the importance of routine visit to the dentist. Down the road you will save money and teeth. The goal is to catch the problem early!
A prolonged tooth decay leads to the loss of tooth structure increasing the chances of tooth fracture. This may ultimately results in the loss of a tooth which could have been saved if presented to the dentist earlier.
A parafunctional habit may be diagnosed and corrected in the early phase which later results in the situation of a Full Mouth Rehabilitation. Prevention is definitely better than cure. Therefore, timely visit to your dentist can avoid the need of most of the complicated and expensive procedure in the future.
Replacement of missing teeth is the ultimate option that needs to be managed by the additional surgeries which could have otherwise been avoided by earlier intervention. In fact even the loss of tooth could have been avoided by saving the existing natural teeth using simpler treatment options.
Get the regular checkups done and have a happy smile today and tomorrow.
Diabetes And Oral Health
People with diabetes who have irregular blood glucose levels have a higher risk of tooth problems and gum disease than people without diabetes. This is because they have lowered resistance to infection and may not heal as easily.
If you are living with diabetes, you need to pay particular attention to your oral health and dental care, as well as controlling your blood glucose levels. Visit your dentist regularly for advice about how to keep your teeth and gums healthy.
The first signs and symptoms of diabetes can occur in the mouth, so paying attention to your oral health can also lead to earlier diagnosis and treatment.
The most common oral health problems affecting people with diabetes are:
Periodontal (gum) disease is caused by an infection that destroys the bone surrounding and supporting your teeth. This bone holds your teeth into your jawbone and allows you to chew comfortably. Bacteria and food debris called dental plaque is essential for gum disease.
If left on teeth and gums, plaque hardens to form calculus or tartar. The plaque and calculus irritate the gums around teeth so they become red, swollen and bleed. As gum disease progresses, more bone is lost. Teeth become loose and may fall out by themselves or may need to be removed.
Gum disease is more common and more severe in people with suboptimal blood glucose levels. This is because they generally have lower resistance to infection and reduced healing capacity.
Symptoms Of Gum Disease
Please see your dentist immediately if you notice any signs and symptoms of gum disease, including :
Red, swollen, tender, bleeding gums
A persistent discharge (pus) coming from the gums
Gums that are loose and pull away from the teeth
A bad taste or bad breath
Loose teeth – this can change the ‘feel’ of your bite when your teeth are placed together or may make dentures fit differently
Spaces opening up between your teeth.
Diabetes And Tooth Decay
With increased blood glucose levels, people living with diabetes may have more glucose in their saliva and very dry mouths. These conditions allow dental plaque to build up on teeth, which leads to tooth decay and cavities.
Taking good care of your teeth prevents cavities and gum disease.
Diabetes And Oral Fungal Infections
Oral thrush (candidiasis) is a fungal infection. It is caused by an overgrowth of the yeast, Candida albicans, which occurs naturally in the mouth. Some conditions caused by diabetes such as high glucose in saliva, poor resistance to infection and dry mouth (low saliva levels) can contribute to oral thrush.
Oral thrush causes white or red patches on the skin of the mouth, which can result in discomfort and ulcers.
Caring For Your Teeth And Gums
If you are a person living with diabetes, and wish to prevent tooth and gum problems, it is advisable to:
Follow your doctor’s advice about diet and medication to keep your blood glucose levels as close to optimal levels as possible.
Thoroughly clean your teeth and gums twice a day with toothpaste that contains fluoride.
Use dental floss or interdental cleaners every day to clean between your teeth.
Visit your dentist regularly for advice about proper home care, early intervention and regular preventive maintenance visits to keep your teeth and gums healthy. Your dentist will want to know what your blood glucose levels are and what medications you are taking.
Avoid having a dry mouth – drink plenty of water and chew sugar-free gum to stimulate saliva production.
Don’t smoke – speak to your doctor
FAQ Of General Dentistry
1. Why should I go to the dentist regularly ?
Many people do not see a dentist on a regular basis. They only go when they have a problem. This is known as "crisis treatment" versus "preventive treatment." While these patients may feel they are saving money, it often ends up costing much more in dollars and time. This is because many dental problems do not have symptoms until they reach the advanced stages of the disease process. An example is tooth decay. It is typical to hear, "Nothing hurts... I don't have any problems."
Tooth decay often does not hurt until it gets close to the nerve of the tooth. It is not uncommon to see a patient with a huge cavity who has never felt a thing. The dentist can usually detect a cavity 3-4 years before it develops any symptoms. This early detection can help you prevent root canal treatment.
2. Why should I floss, isn't brushing enough ?
Flossing reduces the number of bacteria in your mouth. There are millions of these microscopic creatures feeding on food particles left on your teeth. These bacteria live in plaque which can be removed by flossing. Brushing your teeth gets rid of some of the bacteria in your mouth. Flossing gets rid of the bacteria the toothbrush can't get to. That's the bacteria hiding in the tiny spaces between your teeth. If you do not floss, you allow plaque to remain between your teeth. Eventually it hardens into tartar. Plaque can be removed by brushing. Only the dentist can remove tartar.
Ask your dentist to show you the proper way to floss. You will both notice the difference at the next cleaning appointment.
3. How can I get my kids to brush their teeth ?
Make it fun! If you are enthusiastic about brushing your teeth, your children will also be enthusiastic. Children want to do the things their parents do. If your children see you brushing your teeth and displaying good dental habits, they will follow. Ask the dentist for other creative ways to get children to brush their teeth.
Getting your children to brush teeth starts with taking them to the dentist at an early age. All children should be seen by their first birthday or 6 months after the eruption of the first tooth.
4. How can I prevent cavities ?
Always spend two to three minutes brushing your teeth. It takes that long to get rid of the bacteria that destroy tooth enamel. Do not brush too hard. It takes very little pressure to remove bacteria and plaque. Floss at least once a day. Flossing is the only way to get bacteria from between your teeth.
Watch the sugar you eat. There is sugar in candy, fruits, crackers and chips. These are the foods that the bacteria in your mouth like best. Be mindful of foods like raisins and peanut butter that stick to your teeth. They can provide a constant supply for the bacteria eating into your teeth. Try to minimize the times during the day when sweet items are eaten and brush your teeth afterwards.
If you cannot brush after a meal, rinse your mouth with water - which can help to remove food from your teeth. Chewing sugarless gum after a meal can also help. Chewing initiates the flow of your saliva which acts as a natural plaque-fighting substance. And do not forget your regular dental visits. Good dental habits will go a long way toward a no-cavity visit.
5. Why does the dentist take X-rays ?
Many diseases of the teeth and surrounding tissues cannot be seen when the dentist examines the mouth. An X-ray examination may reveal:
small areas of decay between the teeth or below existing restorations (fillings)
infections in the bone
periodontal (gum) disease
abscesses or cysts
developmental abnormalities
some types of tumors
Finding and treating dental problems at an early stage can save time, money and often unnecessary discomfort. X-rays can detect damage to oral structures not visible during a regular exam. If you have a hidden tumor, X-rays may even help save your life. Dentist will evaluate your need for X-rays based on the conditions present in development. There are many benefits to having X-rays taken. Any additional questions or concerns should be discussed with your dentist.
6. What is fluoride and why is it important to dental health ?
Fluoride is a mineral that occurs naturally in many foods and in water. Some natural sources of fluoride are brewed tea, canned fish, cooked kale and spinach, apples, and skim milk. Some city water contains fluoride, so by drinking tap water you will acquire fluoride. If drinking water does not have fluoride, supplements are available.
The lack of exposure to fluoride places individuals of any age at risk for dental decay. Fluoride is important to dental health because it helps prevent tooth decay by making your tooth enamel more resistant to acid attacks from plaque bacteria in your mouth.
Studies have shown that children who consumed fluoridated water from birth had less dental decay. Fluoride can reverse early decay and help prevent osteoporosis, a disease that causes degenerative bone loss. Talk to your dentist or dental hygienist about whether you're getting the daily amount of fluoride you need.
7. What are cavity-fighting sealants ?
The American Dental Association cites sealants as an effective weapon in the arsenal against tooth decay. Sealants are a thin coating painted on chewing surfaces of molars and premolars. Dental sealants act as a barrier, protecting your teeth against decay-causing bacteria.
Sealants have proven effective with both adults and children, but are most commonly used with children. Despite the fact that sealants are about half the cost of fillings, only a small percentage of school-aged children have sealants on their permanent teeth. Ask your dentist whether sealants are a good choice for you or your children.
8. What are the dangers of oral piercings ?
The American Dental Association recognizes that piercing is a widely accepted form of self-expression, and that includes piercings in the mouth. However, the potential problems from piercings are numerous. Some symptoms after a piercing include pain, swelling, infection, drooling, taste loss, scarring, chipped teeth, tooth loss, and an increased flow of saliva, none of which are particularly pleasant. Tongue piercing can also cause excessive bleeding. If you're thinking of placing a piercing in or around your mouth, talk to your dentist first. If you already have piercings and are having problems, see your dentist right away.
9. I knocked out a tooth, can it be saved ?
Oral injuries are often painful, and should be treated by a dentist as soon as possible. If you have knocked out a tooth, these tips may be able to save it:
Rinse, do not scrub, the tooth to remove dirt or debris
Place the clean tooth in your mouth between your cheek and gum or under your tongue
Do not attempt to replace the tooth into the socket as this could cause further damage
Get to the dentist. Successful re-implantation is possible only when treatment is performed promptly
If it is not possible to store the tooth in the mouth of the injured person, wrap the tooth in a clean cloth or gauze and immerse it in milk.
10. What causes morning breath ?
When you are asleep, production in your mouth decreases. Since your saliva is the mouth's natural mouthwash, most people experience morning breath. Bacteria found on teeth in the crevices and on the taste buds of the tongue, break down the food particles, which produce sulfur compounds. It is actually these sulfur compounds which give our breath a bad odor. During desk, your saliva helps to wash away bacteria and food particles. Your saliva also helps to dissolve the foul smelling sulfur compounds
Chronic, long-term mouth odor can be a sign of more serious illness. See your dentist if this is a concern.
11. What can I do about sensitive teeth ?
Sensitivity toothpaste, which contains strontium chloride or potassium nitrate are very effective in treating sensitive teeth. After a few weeks of use, you may notice a decrease in sensitivity. Highly acidic foods such as oranges, grapefruits and lemons, as well as tea and soda can increase tooth sensitivity, and work against sensitivity toothpaste. If you do not get relief by brushing gently and using desensitizing toothpaste, see your dentist. There are special compounds that can be applied in-office to the roots of your tooth to reduce - if not eliminate - the sensitivity. High-fluoride containing home care products can also be recommended to help reduce tooth sensitivity.
Ask the friendly staff at Mountain Dental for more information on sensitive teeth.
12. What is periodontal disease ?
Periodontal disease is inflammation and infection of the gums and supporting bone structure, which if left untreated, can cause permanent jaw bone destruction and possible tooth loss. Untreated periodontal disease has been linked to increased risk for conditions such as heart disease, stroke, low birth weight babies, pre-term delivery, respiratory disease, and prostate cancer. An advanced stage of periodontal disease exhibits inflamed gums pulling away from your bone and teeth. Other signs of periodontal disease include:
Bad breath
Red or swollen gums
Loose teeth or teeth that have moved
Sensitive teeth
Pus coming from around the teeth
Pain when chewing
Tender gums
Bleeding gums
Treatment of early periodontal disease can be performed in-office. However, advanced stages may require surgery. Periodontal disease can be prevented and treated successfully by seeing your dentist and dental hygienist regularly and following recommended care plans.
13. How long will the results of teeth whitening last ?
Like other investments, if you whiten your teeth, the length of time you can expect it to last will vary. If you smoke, drink red wine or coffee, or consume other acid-containing foods, your bright smile may begin to yellow more quickly than you expect. In general, a teeth whitening procedure can last up to a few years. And even though the results can fade, occasional touch-ups can be done to regain luster.
Ask the experienced staff at Mountain Dental about the long-term benefits of teeth whitening.
14. Do whitening toothpastes work ?
Commercial whitening toothpastes vary greatly in their ability to whiten teeth. They work by removing surface stains from the teeth with the use of mild abrasives. However, unlike professional whitening, some whitening toothpastes do not alter the intrinsic color of the teeth. Toothpastes that are effective in removing stains can also destroy tooth enamel in the process. These toothpastes use harsh abrasives. With repeated use, harsh abrasives begin to damage tooth enamel and can contribute to increased tooth sensitivity. If you would like to try a whitening toothpaste, consult with your dentist first.
15. What causes canker sores ?
The exact cause of canker sores is unknown. Some factors may include genetics, allergies, stress, and vitamin and mineral deficiencies. Trauma to the inside of the mouth can result in the development of canker sores. Ill-fitting dentures or braces, toothbrush trauma from brushing too hard, or biting your cheek, may produce canker sores. Certain foods may also be a factor. Citrus or acidic fruits and vegetables can trigger a canker sore or make the problem worse. Foods like chips, pretzels and hard candies have sharp edges that can nick and injure the soft tissue of the mouth.
To treat a canker sore, rinse your mouth with antimicrobial mouthwash or warm water and salt. Over the counter treatments are also available. If the canker sore is present longer than two weeks, see your Mountain Dental dentist.
16. Is smokeless tobacco harmful ?
Smokeless tobacco may be smokeless, but it isn't harmless. These are some of the potential hazards:
A sore that does not heal
A lump or white patch
A prolonged sore throat
Difficulty in chewing
Restricted movement of the tongue or jaw
A feeling of something in the throat
Pain is rarely an early symptom. All tobacco users need to see their dentist regularly.
17. What should I do about bleeding gums ?
People often respond to bleeding gums with the wrong method of treatment. Usually, gums that bleed are a symptom of the onset of periodontal disease or gingivitis. But often, people stop brushing as frequently and effectively because it may be painful or it may cause the gums to bleed again. However, when gums are inflamed, brushing could help reduce the inflammation. More importantly, you should see your dentist to have a periodontal screening and recording performed in order to determine the level of disease present and the best treatment course to pursue.
It is also worth noting that chronic dental pain and discomfort are obvious signs of a problem. Over-the-counter drugs may provide some temporary relief. These medications usually only mask the existence of a problem and should be taken on a temporary basis.
It is important to see your dentist as soon as possible if your gums begin to bleed.
18. Why do my teeth darken ?
Many factors work to destroy the naturally white smile you were born with. Tobacco, certain foods, and certain drinks actually stain teeth. These substances continually work on our teeth causing our white smile to gradually fade. Hot coffee and tea are especially hazardous to your smile because they change the temperature of teeth. This temperature change - hot and cold cycling - causes the teeth to expand and contract allowing stains to penetrate the teeth. Cutting down on coffee and tea can go a long way to creating a great smile. Foods that are slightly acidic are also dangerous to your white smile. These foods open up the pores of the tooth enamel allowing stains to move more easily into the tooth.
Your dentist can help you with more tips on keeping a white smile.
19. I have diabetes. Why is my dentist concerned ?
Research today suggests a link between gum disease and diabetes. Research has established that people with diabetes are more prone to gum disease. If blood glucose levels are poorly controlled you may be more likely to develop gum disease and could potentially lose teeth. Like all infections, gum disease can be a factor in causing blood sugar levels to rise and make diabetes harder to control. Be sure to see your dentist regularly for check-ups and follow home care recommendations. If you notice other conditions such as dry mouth or bleeding gums, be sure to talk with your dentist. And don't forget to mention any changes in medications.
20. I just found out I am pregnant. How can this affect my mouth ?
About half of women who are pregnant experience a condition called pregnancy gingivitis. This condition can be uncomfortable and cause swelling, bleeding, redness or tenderness in the gum tissue. A more advanced oral health condition called periodontal disease (a serious gum infection that destroys attachment fibers and supporting bone that hold teeth in the mouth) may affect the health of your baby. Studies have shown a relationship between periodontal disease and preterm, low birth-weight babies. In fact, pregnant women with periodontal disease may be seven times more likely to have a baby that's born too early and too small. The likely culprit is a labor-inducing chemical found in oral bacteria called prostaglandin. Very high levels of prostaglandin are found in women with severe cases of periodontal disease.
21. Why do I have to take antibiotics before my dental appointment ?
There are certain conditions that require pre-medication with an antibiotic prior to dental treatment to prevent adverse effects and infection that can be caused by bacteria that enter the blood stream during certain treatment. You will want to consult with your dentist about this prior to treatment.
22. I am undergoing chemotherapy and/or radiation for cancer treatment, how can this affect my mouth ?
Chemotherapy and Radiation can cause a number of problems in the mouth, some of which might include: mouth sores, infections, dry mouth, bleeding of the gums and lining of the mouth and general soreness and pain of the mouth. It can be harder to control these things while undergoing treatment as the immune system is generally compromised as a result of the treatment. There are some special mouth rinses that can be prescribed to help with discomfort during treatment. It is very important to see your dentist before treatment begins and then to continue with recommended follow-up care. These treatments can cause dry mouth, and recommendations might be made for additional care both in-office and at home.
23. I have dentures. Is it necessary for me to still see my dentist ?
Visits to the dentist include more than just "checking teeth." While patients who wear dentures no longer have to worry about dental decay, they may have concerns with ill fitting appliances or mouth sores to name a few. Annual visits to the dentist (or sooner if soreness is present) is recommended. During these visits, an oral cancer screening and head and neck exam will be performed as well as an evaluation of the fit or need for replacement of the existing appliances. Regular visits can help you to avoid more complicated problems down the road.
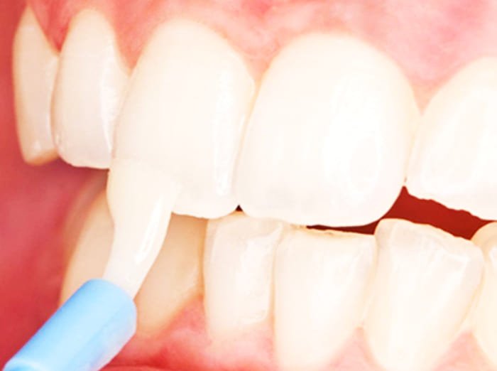
Fluoride Treatment In Children
Fluoride treatments are typically professional treatments containing a high concentration of fluoride that a dentist will apply to a person’s teeth to improve health and reduce the risk of cavities. These in-office treatments may take the form of a solution, gel, foam, or varnish.
In fact, 78.9% of children between ages 6 and 11 in India suffer from dental caries. Aside from being a public health problem affecting toddlers and preschoolers over the world, dental caries, if left untreated can cause severe pain and harm to oral health. What’s more, they also force children to miss school due to pain and can become expensive to treat.
That’s why your dentist may recommend a solution that can help children avoid dental decay – fluoride varnish!
What Is Fluoride Varnish ?
Fluoride varnish is a dental product that contains a highly concentrated fluoride solution. The varnish is directly applied by a dentist on the tooth’s surface using a brush. Fluoride, the active element in varnish, is a mineral that helps in preventing cavities by strengthening the tooth’s enamel.
Fluoride varnish treatment isn’t a magic bullet for cavity prevention as it requires regular brushing with fluoride toothpaste and biannual dental visits for best results.
How Does Fluoride Varnish Work ?
Any fluoride varnish works by increasing the fluoride concentration on the outer tooth surface. Since varnish hardens as soon as it comes in contact with saliva, it allows a high concentration of fluoride to remain in contact with the enamel.
How Often Is Fluoride Varnish Treatment Required ?
According to international guidelines, 2-4 fluoride varnish applications are recommended in a year for the treatment to be effective. However, your dentist will examine your child and determine the number of varnish applications required on the basis of likelihood of caries formation.
Benefits Of Fluoride Treatment Are :
It helps the body better use minerals, such as calcium and phosphate. The teeth reabsorb these minerals to repair weak tooth enamel.
It joins into the tooth structure when teeth are developing to strengthen the enamel of the teeth, making them less vulnerable to bacteria and cavities for life.
It slows or even reverses the development of cavities by harming bacteria that cause cavities.
Reduce the risk of cavities by reminerlisation process by making fluoride ions easily available to the enamel
Slow the growth of cavities by stopping deminerlisation
Delay the need for expensive dental work
Prolong the life of baby teeth
Reduce the amount of time and money a person has to spend at the dentist
Cost Of The Fluoride Treatment :
Charge for fluoride treatment is very minimal ranging from Rs 1000 to Rs 1500 per arch per sitting. And has to be done 2 times in a year.
Holiday Tips For Taking Care Of Your Teeth
Ensure Your Body Is Hydrated
You need to take lots of water and minimize the intake of sugar-filled beverages and alcoholic drinks. It is recommended that you drink at least 8 glasses of water every day to enhance not just your overall health but your oral health too. When your body lacks water, less saliva is produced in your oral cavity. This means that the acid produced by germs in the mouth lingers longer on the teeth, and this makes them susceptible to tooth decay.
Enjoy Sugar Snacks And Drink At Mealtimes
During the festive season, there are lots of sugary treats, sweets, and drinks at parties, get-togethers, and even in homes. Instead of snacking regularly on the festive goodies, you should include them as part of your main meals. This way, you will cause less damage to your gums and teeth. We produce high levels of saliva during our main meals, which helps wash away any excess sugars or acids more effectively.
Keep A Check On Alcohol And Cigarette Consumption
During holidays, even many non-smokers tend to have a cigarette or two, and alcohol consumption increases. Both of these things can increase the risks of gum disease since they cause a dry mouth. As a result, bacteria in the oral cavity are not flushed away as they usually are because saliva production is reduced. The best way to maintain healthy teeth and gums during the holiday season is to ensure that you do not smoke or drink excessively.
Honor Dental Appointment
The holidays can be a busy time, but that doesn’t mean you can forget about your teeth. If you are due for a teeth cleaning or need work done, don’t forget to visit your dentist during holidays or schedule you dental appointment immediately post holiday.
How To Avoid Sugar Craving
Sugar cravings are extremely common, especially among women.
In fact, up to 97% of women and 68% of men report experiencing some sort of food craving, including cravings for sugar.
Those experiencing a sugar craving feel a strong urge to eat something sweet and can find it difficult to control themselves around food.
This can lead to binge eating or over-consuming calories, sometimes on a regular basis.
Luckily, there are things you can do to take the edge off.
Alternatives To Sugar
Fruit
Fruit is naturally sweet but also contains lots of beneficial plant compounds and fiber, allowing you to have your fix and keep it healthy
Berries
Berries are an excellent, nutritious choice for stopping sugar cravings. Berries taste sweet, but they are high in fiber and low in sugar. Regularly eating berries may also help reduce your risk of heart disease and diabetes.
Dark Chocolate
Chocolate is one of the most commonly reported foods people eat when they crave sweets. This is especially true for women. Swap regular chocolate out for a few squares of dark chocolate, which contains less sugar and higher levels of healthy polyphenols.
Snack bars
Not all snack bars are healthy, and some are very high in fat and sugar. Try looking for a snack bar made with whole oats and sweetened with fresh or dried fruit, rather than table sugar. The best bars have been made with whole foods. They are likely to be higher in fiber and contain more beneficial nutrients, even if they are still quite sweet. Snack bars that have
been made with whole foods can make a healthy sweet treat.
Sugar free chewing Gums
Chewing sugar-free gum can provide you with a sweet taste that may help curb your cravings and control your food intake.
Legumes
Legumes like lentils, beans and chickpeas are good sources of protein and fiber. Including them in your diet could help curb hunger, leaving you less likely to get a craving.
Yogurt
Yogurt is a healthy snack that’s high in protein and rich in calcium. It is a high-protein snack that could help you control your appetite and cravings.
Dates
Dates are the dried fruit of the date palm tree. They are highly nutritious and very sweet which can fix your craving for sugar. Even though they have been dried, they are a great source of fiber, potassium, iron and beneficial plant compounds.
Sweet Potatoes
Sweet potatoes are nutritious, sweet and very filling. They contain mostly carbs but also fiber and a number of vitamins and minerals, including vitamin A, vitamin C and potassium. For a delicious treat, try them roasted with cinnamon and paprika.
Meat, Poultry and Fish
Including a source of protein like meat, poultry or fish in your meals may help prevent sugar craving and keep you full.
If you’re vegetarian, don’t worry — plant-based sources of protein may have the same effects.
Smoothies
The sweetness of the fruit combined with the filling effects of yogurt can satisfy your need for something sweet, all while providing lots of beneficial nutrients and combating your cravings for sweets.
Eggs
Eggs are another high-protein food. Eggs can be a good choice, especially for breakfast. They’ll keep you feeling fuller for longer and reduce the chance of sugar cravings throughout the day.
Trail Mix
Nuts contain healthy fats, proteins, fiber and plant compounds. Eating them has been linked to a number of health benefits, including improved risk factors for heart disease and diabetes. Trail mix combines the sweetness of dried fruits with nuts. This gives your sweet fix some added nutritional value.
Whole Grains
Whole grains are high in fiber and contain nutrients including B vitamins, magnesium, iron, phosphorus, manganese and selenium.
Vegetables
Vegetables are high in fiber and low in calories. They also contain lots of beneficial nutrients and plant compounds. Adding more vegetables to your meals could help fill you up and prevent you from getting sugar cravings due to hunger.
How To Combat Dental Anxiety
Share your fears.
If you're tense or anxious, tell your dentist and the dental staff. Expressing your concerns will help your dentist adapt the treatment to your needs.
Focus on breathing regularly and slowly during dental procedures.
When people are nervous they tend to hold their breath, which decreases oxygen levels and further increases feelings of panic. As in some meditation techniques, a focus on slow, regular breathing helps reduce stress levels.
Listen to some tunes.
If the sound of the drill bothers you, bring along your favorite music and earphones.
Watch what you eat and drink.
Avoid caffeine before a dental appointment. Eat high-protein foods which – unlike sugary foods – produce a calming effect.
Use hand signals.
Empower yourself by agreeing on hand signals to communicate with your dentist. When you feel uncomfortable, signal the dentist to ease off or stop the procedure.
Choose a low stress appointment time.
Select a time for your dental visit when you’re less likely to be rushed or under pressure. This might mean a Saturday or an early-morning appointment.
Get some good reviews.
If you’re looking for dentist, ask friends and relatives for recommendations. A glowing review about a dentist from someone you trust can help reduce your anxiety.
How To Select A Toothbrush
Since the average people spend nearly 1,000 hours brushing teeth over a lifetime, it’s important to find a toothbrush that feels comfortable and works well. This can be a daunting task, considering the variety of toothbrushes on the market. Angled heads, raised bristles, oscillating tufts: which toothbrush will work best for you?
In reality, almost any toothbrush you feel comfortable using works well. What is most important is to brush your teeth correctly – and brush them long enough. Most people brush for less than a minute, but to effectively reach all areas of your mouth and scrub off cavity-causing bacteria, you should brush for at least two to three minutes, at least twice daily
How do you find the toothbrush that’s most comfortable for you ?
Some guidelines for brush selection
Any toothbrush you choose should have soft bristles. Hard bristles may cause gum tissue to pull back from teeth, which can expose the tooth root and lead to increased sensitivity to heat, cold or certain foods and drinks
Select a toothbrush head size that can easily fit into the mouth and can brush one to two teeth at a time (the general size is 1" long and ½" wide).
Powered toothbrushes don’t clean teeth any better than regular toothbrushes. However, if a powered toothbrush motivates you to clean your teeth more often and for the required length of time, it is worth the investment.
Powered toothbrushes are better choices than manual toothbrushes for anyone who needs assistance brushing teeth, including people with arthritis (or any condition that may limit mobility), anyone wearing braces or people with misaligned or uneven teeth surfaces that make a thorough cleaning more challenging.
Replace your toothbrush (or toothbrush head for a powered toothbrush) as soon as the bristles begin to look worn or frayed (usually every three months). A worn toothbrush does not do a good job of cleaning your teeth. Remember always to replace your toothbrush after an illness.
If you’re still undecided about which toothbrush to use, consult your dentist for advice.
If you are shopping for a child, select a toothbrush with the following characteristics:
Soft bristles (for gentle cleaning)
Very small heads (designed for baby teeth)
Large handles (easier for children to grip)
Myths And Facts About Dental Implants
What Are Dental Implants ?
Dental implants are metal posts or frames that are surgically positioned into the jawbone beneath your gums. Once in place, they allow dentist to mount replacement teeth onto them.
Facts About Dental Implants
A dental implant is actually a replacement for the root or roots of a tooth. Like tooth roots, dental implants are secured in the jawbone and are not visible once surgically placed.
They are used to secure crowns (the parts of teeth seen in the mouth), bridgework or dentures by a variety of means. They are made of titanium, which is lightweight, strong and biocompatible, which means that it is not rejected by the body.
Titanium and titanium alloys are the most widely used Titanium’s special property of fusing to bone, called osseointegration (“osseo” – bone; “integration” – fusion or joining with), is the biological basis of dental implant success.
That’s because when teeth are lost, the bone that supported those teeth is lost too. Placing dental implants stabilizes bone, preventing its loss.
Long with replacing lost teeth, implants help maintain the face structure. Cause it help in preserving the facial bones.
Who Can Have Dental Implants ?
You are a candidate if you got missing tooth/teeth.
But you have to have a good amount of bone and a healthy gum.
There are a few strong reasons for you to go for dental implants
You can get to the look and feel of natural teeth Maintain bone structure and prevent further bone loss Maintain a youthful appearance Enable you to enjoy the foods you love Improve your speech Improve your oral hygiene Do not interfere with your healthy teeth
Whereas In case of a bridge oral hygiene maintenance is compromised a little, which will result in future dental health problems.We are not bothering the healthy adjacent teeth, but for a bridge we have to compromise the nearby teeth by trimming the enamel.
Myts About Dental Implants
Dental Implants are for everyone.
Rebuttal: Reportedly, 70% of individuals in the 35 to 44 age-group are vulnerable to tooth loss and 26% are totally devoid of their natural teeth by the time they reach 76 years. Contrary to popular perception, not everyone is a candidate for dental implants. The dentist will conduct the procedure only if the bone tissue is healthy and strong enough to support implants.
Dental Implants pose a health hazard.
Rebuttal: Dental implants in India are one of the safest dental procedures currently used. In fact, the procedure has been around for the past four decades and flaunts a staggering 95% success rate. (The success rate can be pushed to 98% with apt care and maintenance). Many mistakenly link dental implants to migraines. However, that’s actually caused by an underlying condition or a botched up surgery. So, it’s all about choosing the right implant center/specialist.
Dental implants command high prices
Rebuttal: Conceded, dental implants require higher upfront spending compared to dentures and bridges. Typically, you may spend anywhere between INR 20,000 to INR 50,000 for a single implant with the crown, subject to the type and brand. However, dental implants in Delhi bring in lasting value, as they serve you for decades if properly maintained. Contrarily, a bridge is priced between INR 9,000 to INR 30,000 but has a service life of 6 to 7 years maximum.
Dental Implants cause severe pain.
Rebuttal: All dental procedures are misconstrued to be painful and dental implants are no exception either. Any reliable dental practice is likely to stick to safety protocols when conducting the procedure. Local anesthesia is applied to numb the area where implants will be fixed. Plus, you have the choice to choose the anesthesia to your needs and preferences.
Dental Implant surgery involves lengthy healing times.
Rebuttal: The healing time varies from person to person, depending on his/her condition, number of implants and other factors. Typically, you can expect complete recovery within 6 months. Much to your delight, same-day implants are also readily available.
Root Canal Treatment
Root canal therapy, also known as endodontic therapy, is a dental treatment for removing infection from inside a tooth. It can also protect the tooth from future infections.
It is carried out in the pulp of the tooth, which is the root canal.
Fast Facts About Root Canal Therapy
Root canal therapy is used to remove nerves from the pulp of a tooth.
It is thought to be very painful but is a pain-relieving treatment.
The procedure often referred to as root canal is called endodontic therapy.
Root canal therapy costs vary, but it is a less costly option than having a tooth removed and replaced with a crown or bridge.
What Is Root Canal Treatment ?
A “root canal” is not a treatment, but part of a tooth. It is the hollow section of a tooth that contains the nerve tissue, blood vessels, and other cells, also known as the pulp.
A tooth consists of a crown and roots. The crown is mainly above the gum, while the roots are below it. The roots attach the tooth to the jawbone.
Inside the crown and the root, or the root canal, is the pulp. The pulp nourishes the tooth and provides moisture to the surrounding material. The nerves in the pulp sense hot and cold temperatures as pain.
What Are The Steps ?
Root canal therapy is done in three steps, and it takes between one and three sessions to complete.
1. Cleaning the root canal
First, the dentist removes everything that is inside the root canal.
With the patient under local anesthesia, the dentist makes a small access hole on the surface of the tooth and removes the diseased and dead pulp tissue with very small files.
2. Filling the root canal
Next, the dentist cleans, shapes and decontaminates the hollow area, using tiny files and irrigation solutions. Then, the tooth is filled with a rubber-like material, using an adhesive cement to seal the canals completely.
After root canal therapy, the tooth is dead. The patient will no longer feel any pain in that tooth because the nerve tissue has been removed, and the infection has been eliminated.
3. Adding a crown or filling
However, the tooth will be now more fragile than it was before. A tooth with no pulp must receive its nourishment from the ligament that attaches the tooth to the bone. This supply is adequate, but in time, the tooth will become more brittle, so a crown or filling offers protection.
Until the crown or filling is complete, the patient should not chew or bite on the tooth. Once there is a crown or filling is done, the person can use the tooth as before.
Treatment often takes only one appointment, but if there are curved canals, multi-canals, or large infections, this could take one or two additional appointments.
How Painful Is It ?
One of the great fears about this kind of treatment is that it will be painful, but the treatment that is carried out by a trained dental surgeon should be relatively painless.
The pain that is felt comes from the infection and not from the treatment. The treatment does not cause pain; it helps to alleviate it.
The dental surgeon will relieve the pain of the procedure by numbing the tooth and surrounding area with local anesthesia.
After the treatment, some tenderness is normal. It is temporary and can be taken care with some mild medication.
The dentist may prescribe an antibiotic to treat or prevent infection.
Without treatment, the infection will spread. Eventually, the tooth will become loose and need extracting.
Root canal therapy will usually save the tooth and eliminate the pain.
However, saving the natural tooth is best, if possible, because nothing functions as well as a natural tooth.
What Does It Cost ?
The cost of root canal treatment varies widely, but saving the tooth with a root canal is relatively cost-efficient. The cost ranges from Rs 5000 to Rs 20,000 with crown.
The other option is extraction, and the cost of an implant or bridge to replace the tooth afterward is usually more expensive (around Rs 20000 to Rs 40000). Extraction can also lead to malocclusion, or misaligned teeth, and difficulty chewing.
What Are The Foods That Damage Your Teeth The Most ?
First of all, what makes a food “bad” is that the bacteria living in the mouth burn sugars in order to thrive.
Some food choices can contribute to the wear and tear of your pearly whites. What makes a food “bad” is that the bacteria living in the mouth burn sugars in order to thrive. The byproduct of this burning is acid, which dissolves tooth enamel and causes cavities.
Foods that are both sticky and sugary are bad for the teeth. That’s because when foods are sticky, they tend to “stick” around and stay on the teeth longer, which gives a greater chance for bacteria to run amok and do all the naughty things they do.
Acidic foods can also be a poor choice, as they could potentially damage the tooth enamel. Food and drinks that are both acidic and sugary (like soda pop), double the trouble for teeth.
Some foods listed below aren’t necessarily bad for health such as dried fruits, but the experts encourage teeth brushing, flossing and mouth rinsing after consumption to help prevent cavities.
Popcorn
Those buttered puffy bits get stuck between your teeth and promote bacteria growth. Beware of the crunchy kernels that can lead to cracked teeth and the sharp hulls that can lead to cut gums. Ouch!
Soft drinks
Syrupy beverages such as sodas and sports drinks are especially bad for teeth when sipping for extended periods of time. Diet sodas should also be avoided. Just because they lack sugar, doesn’t mean they lack acidity.
Hard candy
These treats linger in the mouth for a long time as you wait for them to dissolve and deliver their sugary goodness. It could take up to 10 minutes for some hard candies to dissolve and there are no health benefits associated with hard candy. Beware of potential dental emergencies like cracked teeth and cuts on the inside of the mouth.
Beverages with alcohol
Alcohol increases dry mouth and causes natural saliva production to decrease. Saliva helps wash away food particles and provides a slime layer to help protect your teeth against acid. Alcohol also irritates all the soft tissue in the mouth.
Citrus
Please don’t suck on lemons. It’s harmful to bathe teeth in acid! Foods high in acid, such as limes, lemons and tomatoes, can promote tooth decay when eaten alone. These foods have nutritional value when prepared with a meal, so enjoy them but remember to rinse your mouth with water after eating them to help buffer the acid.
Potato chips
Starchy foods like potato chips, corn chips, and white bread get trapped between teeth and feed bacteria that causes plaque.
Dehydrated fruits
Although dried fruits may be more nutritious than processed fruit snacks, they are still sticky and high in sugar. Definitely brush and floss after eating them.
Coffee and tea
Coffee and tea not only tint your smile a lovely shade of brown, but if they are sweetened they also make the teeth sticky which means more food particles can hitch a ride. If you do partake, try to avoid the syrups and add-ons and drink plenty of good old-fashioned water.
Ice
Ice is for chilling, not chewing. Although it is made of water and doesn’t contain sugar, chewing on hard substances can leave your teeth vulnerable to a dental emergency such as a cracked tooth.
For optimal oral health, avoid foods that damage your teeth and visit a local dentist near you for regular check-ups.
What Should You Expect From Your Dental Checkups ?
First, it is important to find a dentist with whom you feel comfortable. Once you've found a dentist you like, your next step is to schedule a check-up — before any problems arise.
On your first visit to a dentist, they will take a full health history. On subsequent visits, if your health status has changed, make sure to tell them.
Most dental visits are checkups. Regular checkups (ideally every six months) will help your teeth stay cleaner, last longer and can prevent painful problems from developing.
A thorough cleaning
Check ups almost always include a complete cleaning, from your dentist. Using special instruments, a dentist will scrape below the gumline, removing built-up plaque and tartar that can cause gum disease, cavities, bad breath and other problems. Your dentist may also polish and floss your teeth.
A full examination
Your dentist will perform a thorough examination of your teeth, gums and mouth, looking for signs of disease or other problems. His or her goal is to help maintain your good oral health and to prevent problems from becoming serious, by identifying and treating them as soon as possible.
X-rays
Depending on your age, risks of disease and symptoms, your dentist may recommend X-rays. X-rays can diagnose problems otherwise unnoticed, such as damage to jawbones, impacted teeth, abscesses, cysts or tumors, and decay between the teeth. A modern dental office uses machines that emit virtually no radiation — no more than you would receive from a day in the sun or a weekend watching TV. And, if you are pregnant, inform your dentist, as X-rays should only be taken in emergency situations.
Your dentist may ask for a Panoramic X-ray. This type of film provides a complete view of your upper and lower jaw in a single picture, and helps the dentist understand your bite and the relationship between the different teeth and your arch.
How Long Should I Go Between Visit ?
If your teeth and gums are in good shape, you probably won't need to return for three to six months. If further treatment is required — say to fill a cavity, remove a wisdom tooth, or repair a broken crown — you should make an appointment before leaving the office. And don't forget to ask your dentist any questions you may have —this is your chance to get the answers you need.